Wir befinden uns mittlerweile in Woche 13 nach dem Unfall und es wird Mal wieder Zeit für ein kleines Update. Viel Spaß beim Lesen!
Sport
Vor zwei Wochen durfte ich endlich mit dem Radfahren beginnen. Leider war der Start etwas weniger das, was ich mir erhofft hatte. Die erste Radfahrt erfolgte im Studio bei meinem Physio, dort hatte er mich auf einen seiner Ergometer gesetzt. Da ich keine Sportschuhe dabei hatte, musste ich strumpfsockig auf das Gerät steigen. Der Sattel war so hoch eingestellt, dass ich das Knie kaum beugen musste (oder konnte). Nach 5 Minuten stellte er diesen nach unten und ließ mich noch 10 weitere auf einer etwas angenehmeren Höhe fahren. Allerdings war der Widerstand so gering, dass es sich anfühlte, als würde man komplett gegen Luft treten. Die in Summe 15 Minuten gingen schmerzfrei vorbei, doch ich merkte relativ schnell, wie sehr sich meine Ausdauer verschlechtert hatte.
Seit der ersten Fahrt bei meinem Physio bin ich noch vier weitere Male Zuhause auf der Rolle gefahren. Dort natürlich mit deutlich höherem Widerstand und letzte Woche dann zum ersten Mal 30 Minuten lang. Auch das ging problemlos und vollkommen ohne Schmerzen.
Am 02.10. kam dann die Orthese weg und damit war mein Knie endlich wieder frei. Da kam es gerade gelegen, dass ich in der darauffolgenden Woche einen Urlaub am Tegernsee geplant hatte.
Das erste Mal wandern
Da durch meine Knieverletzung sämtliche Urlaubspläne geplatzt sind, haben wir uns entschieden, die freie Zeit im Oktober für einen kleinen Wellnessurlaub zu nutzen. Mein Plan war es, dort ein bisschen mehr Bewegung ins Knie zu kriegen und vielleicht den ein oder anderen Muskel wieder etwas anzuregen.
Am Freitag haben wir dann die erste spontane Wanderung gemacht. 4,16 Kilometer und 230 Höhenmeter haben wir dabei zurückgelegt. Auch wenn ich anfangs vorsichtig war, bereitete mir das Knie keinerlei Probleme, nicht mal beim bergab gehen! Das rechte Bein zitterte allerdings wie verrückt, als wir wieder am Auto angekommen waren. Es war am Ende wohl doch etwas anstrengend für den laschen Oberschenkelmuskel gewesen.
Am nächsten Tag folgte dann eine weitere Wanderung, diesmal 6,47 Kilometer und ebenfalls 230 Höhenmeter. Diese lief sogar noch besser und ich konnte nahezu normal gehen. Man hätte es mir vermutlich nicht mehr angesehen, dass ich mir vor drei Monaten die Kniescheibe gebrochen habe.
Nach den Wanderungen wurden wir mit Saunagängen und gutem Essen belohnt. Der Urlaub war wirklich ein voller Erfolg und ich bin froh, dass wir nach dem Desaster mit meinem Knie noch etwas freie Zeit in den Bergen verbringen konnten.
Wie geht es jetzt weiter?
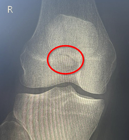
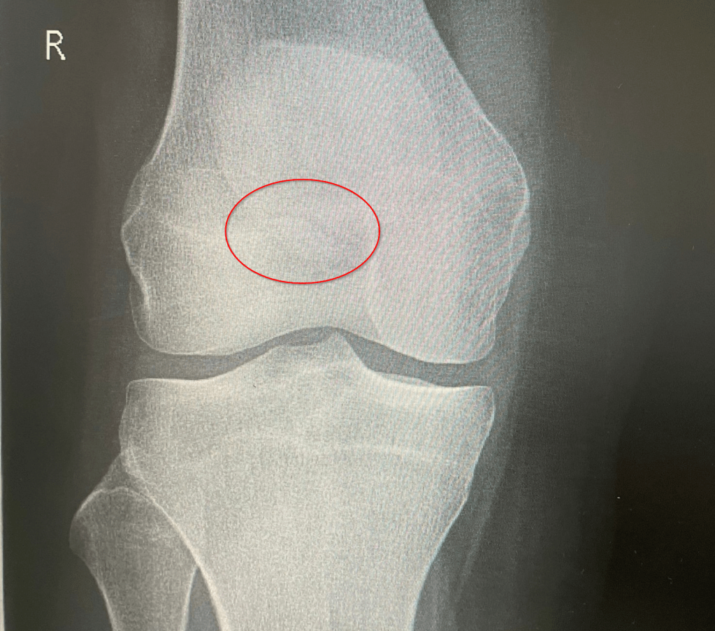
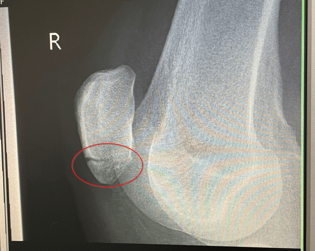
Diese Woche Freitag steht der heiß ersehnte Termin beim Orthopäden an. Das (hoffentlich) letzte Mal röntgen. Wenn ich dort das Okay bekomme, kann es endlich wieder mit dem Laufen und dem Muskelaufbau des rechten Beins los gehen. Momentan ist der Oberschenkelmuskel noch immer eher ein schwabbeliges Etwas und ich freue mich schon darauf, diesen in das zu verwandeln, was er einmal war. Ich bin sehr gespannt, wie der Einstieg ins Laufen klappen wird und wie schnell ich meine Ausdauer wiederaufbauen kann. Ihr werdet es hier auf jeden Fall erfahren!
Im nächsten Post möchte ich euch dann von meinen Plänen für 2025 erzählen! (diesmal wirklich, versprochen)
Danke fürs Lesen!






























